Une femme, qui a fait une infection après une intervention effectuée par un autre médecin, est venue voir le Dr. Karkare. Les choses se sont progressivement aggravées, et elle a failli perdre une jambe.
Elle a rencontré le Dr. Karkare, qui non seulement lui a sauvé sa jambe, mais l’histoire a été ensuite relatée sur CBS aux nouvelles du soir, ici à New York. Regardez la vidéo de 3 minutes sur la droite…
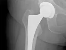
Remplacement total de la hanche à l’aide d’un système robotisé
Ce clip réalisé avec le Dr. Karkare a récemment a été présenté sur une filiale de NBC à Palm Springs, au cours d’un segment video sur le remplacement de la hanche à l’aide d’un système robotisé.
En savoir plus sur le remplacement de hanche assisté par robot

Le tourisme médical aux États-Unis
Le tourisme médical. Des milliers de Canadiens viennent aux États-Unis pour leurs interventions chirurgicales, bien que le pays ait un excellent système universel de soins de santé pour tous ses citoyens.

Dr. Karkare formé au prestigieux Hôpital pour chirurgie spéciale, hôpital de New York de haut rang pour l’orthopédie et la rhumatologie, qui a été fondée en 1863.

U.S. Presse sites Web et Mentions des Médias
Dr. Karkare a été cité dans de nombreuses revues médicales, il est apparu dans plusieurs interviews télévisées et cité dans divers articles sur le net.
Les voir tous ici…

À compter de septembre de 2016, Dr. Karkare effectuera une chirurgie du genou assistée par robot à New York, et les procédures se feront exclusivement à l’hôpital de Lennox Hill.
En savoir plus ici…
Témoignages
Chirurgien en orthopédie à New York
Je suis le Dr. Nakul V Karkare à New York chirurgien en orthopédie spécialisé dans la reconstruction des membres et dans le remplacement des articulations.
J’ai sept cabinets dans Manhattan à Riverhead, New York, et je suis spécialiste dans la chirurgie des hanches et des genoux pour les hommes, les femmes et les enfants.
Je tiens à vous fournir toutes les informations nécessaires relatives à la chirurgie par voie antérieure pour la prothèse totale de la hanche, pour le remplacement du genou spécifique du patient , pour la procédure de révision complexe du remplacement de la hanche et du genou, et le traitement de la nécrose avasculair.
- Le temps d’attente dans le cabinet est minime
- Zéro jour pour que le plan soit renvoyé par télécopieur au fournisseur référent
- Tech utilisée de façon optimale – entièrement électronique – pas de papier au cabinet médicale
- Zéro auxiliaire – pas besoin d’autres entreprises – pas de rayons X , d’IRM etc
- Paiements zéro pour les hôpitaux
- Paiements zéro pour les pharmacies – nous travaillons uniquement pour les patients .
- Rappel du patient – même jour
Appelez mon cabinet immédiatement, vous pourrez prendre un rendez-vous tout de suite.
Le Dr. Karkare est compétent dans le diagnostic et la prise en charge de nombreux types d’affections orthopédiques et articulaires et offre aux patients des solutions fondées sur leur état actuel et un pronostic futur pour améliorer considérablement leur qualité de vie.
Son expérience diagnostique et thérapeutique comprend à la fois le traitement non chirurgical et chirurgical des conditions les plus « communes » comme l’arthrose liée à l’âge et l’usure articulaire induite par le mouvement répétitif ainsi que des problèmes médicaux plus complexes.
Conditions traitées :
Arthroplastie mini-Invasive
Le Dr. Karkare possède une expérience et des compétences considérables lors des interventions chirurgicales mini-invasives pour le remplacement de l’articulation, en utilisant des approches novatrices et une technologie de pointe pour le placement précis des composants del’implant par des incisions plus petites, avec préservation tissulaire.
Comme pour d’autres techniques et approches chirurgicales, la décision d’utiliser une approche chirurgicale mini-invasive est faite sur une base de patient-par-patient afin de s’assurer que chaque patient atteigne les meilleurs résultats possibles à long terme.
Arthroplastie assitée par robot de la hanche
En chirurgie articulaire assistée par robot, la technologie informatique est utilisée pour aider le chirurgien à mieux contrôler les aspects très précis du processus de remplacement d’une articulation, permettant un positionnement plus précis de l’implant et l’alignement approprié des éléments des articulations artificielles.
À ses pratiques, le Dr. Karkare s’appuie sur le système de pointe assisté par robot de MAKO plastie® pour une meilleure implantation et des résultats reproductibles, fondés sur l’anatomie particulière de chaque patient.
Les chirurgies de la hanche assistées par robot sont réalisées en utilisant une approche chirurgicale par voie antérieure, méthode avec préservation tissulaire qui entraîne moins de traumatisme tissulaire, mais aussi une période de récupération plus rapide et plus confortable.
Le remplacement de la hanche par voie antérieure
Ces incisions peuvent être précisément localisées pour éviter des lésions tissulaires étendues en déplaçant les muscles du côté au lieu d’inciser à travers eux. Les patients qui sont de bons candidats pour une approche antérieure de l’arthroplastie de la hanche peuvent bénéficier d’une guérison et d’une récupération plus rapides, de moins d’inconfort postopératoire et un retour plus rapide aux activités normales et la fonction articulaire optimale par rapport aux hommes et aux femmes qui subissent des arthroplasties traditionnelles de la hanche.
Le remplacement d’une articulation assistée par ordinateur
Les ordinateurs fournissent aux chirurgiens une rétroaction continue y compris l’imagerie bidimensionnelle et tridimensionnel en temps réel au cours de la procédure chirurgicale pour aider à guider le placement des composants de l’implant sur la base de l’anatomie unique du patient et d’autres facteurs.
Le Dr. Karkare possède une vaste expérience dans les techniques de remplacement d’une articulation assistée par ordinateur, en utilisant les méthodes et les systèmes chirurgicaux les plus avancés pour atteindre une précision et une exactitude dans le placement des éléments d’articulation artificiels pour une fonction articulaire optimale.
Prothèse du genou, chirurgie de pointe
Le Dr. Karkare offre des arthroplasties du genou personnalisées d’après une multitude de données de diagnostic afin de faciliter une plus grande précision lors de la chirurgie et de meilleurs résultats par la suite. La chirurgie de remplacement du genou personnalisée offre aux patients de nombreux avantages, notamment un ajustement meilleur et plus stable, une récupération plus rapide après la chirurgie, moins de douleur lors de la récupération et une diminution des risques de complications comme l’infection.
La chirurgie de remplacement du genou personnalisée implique également moins de dommages tissulaires afin que les patients puissent regagner leurs activités habituelles plus rapidement. La prothèse totale du genou est la plus fréquente, avec remplacement de l’os endommagé sur le fémur et le tibia (os de la jambe inférieure et supérieure) pour la restauration d’un mouvement indolore, d’amplitude normale. La prothèse partielle du genou peut être envisagée chez les patients atteints de lésions articulaires moins importantes.
Chirurgie de remplacement des articulations
Avant de subir une chirurgie de remplacement des articulations, chaque patient subit une évaluation diagnostique exhaustive et complète pour exclure des approches plus traditionnelles, non chirurgicales des soins.
La chirurgie est envisagée quand les options de traitement les plus traditionnels ont été jugées inefficaces ou inappropriées pour parvenir à soulager la douleur et autres symptômes. En tant que chirurgien orthopédiste hautement qualifié, le Dr Karkare est compétent dans les techniques chirurgicales traditionnelles « ouvertes » ainsi que dans les approches mini-invasives.
La polyarthrite rhumatoïde
Les patients atteints de PR présentent des symptômes comme la diminution de la mobilité, la douleur, l’inflammation, le gonflement et une éventuelle déformation articulaire. Bien que certains hommes et femmes atteints de PR peuvent trouver un soulagement dans des médicaments pour réduire l’inflammation et inhiber la réponse immunitaire anormale, il n’y a pas de remède pour la PR. Le remplacement d’une articulation à l’aide de prothèses de pointe peut apporter une solution à long terme pour les patients atteints de PR, le soulagement de symptômes douloureux tout en rétablissant la mobilité et aider les hommes et les femmes à reprendre leur vie normale.
Nécrose avasculaire
C’est l’une des causes la plus courante à la douleur du genou est l’âge. La Nécrose avasculaire peut se produire n’importe où, mais elle affecte plus souvent les hanches et les genoux, suivie par les chevilles, les épaules et les bras. La cause sous-jacente de la nécrose avasculaire n’est pas clairement comprise, et des études approfondies d’imagerie associées à l’expertise et à l’expérience professionnelle jouent un rôle essentiel dans le diagnostic de la maladie.
En fin de compte, le but du traitement est de stopper la progression de la maladie et de restaurer une utilisation normale, sans douleur de l’articulation ou du memebre. Alors que l’intervention non chirurgicale peut apporter un soulagement temporaire des symptômes, la plupart des patients ont besoin d’une intervention chirurgicale pour restaurer les zones endommagées et soulager la douleur.
Bursite de la hanche
Les cas les plus avancés ou « tenaces » de bursite de la hanche peuvent nécessiter une chirurgie afin de retirer la bourse enflammée sans limiter le mouvement normal de l’articulation. Le Dr. Karkare évalue chaque patient individuellement afin d’assurer des soins appropriés, incluant des options non chirurgicales et chirurgicales.
Dysplasie de la hanche
Tandis qu’un développement normal d’une hanche a un bon ajustement entre la tête sphérique de l’articulation et la cavité cotylodienne, dans la dysplasie de la hanche, l’articulation est mal formée, ayant pour conséquence une jonction moins sûre entre la tête sphérique et la cavité qui permet à la hanche de glisser hors de l’alignement ou de se disloquer.
La dysplasie de la hanche peut-être être traitée de façon conservatrice chez certains patients plus jeunes, mais dans d’autres cas, y compris chez les patients qui ont subi de multiples corrections infructueuses, le remplacement de la hanche peut être la meilleure option pour le soulagement à long terme des symptômes et le fonctionnement normal de l’articulation.

Le chirurgien le mieux noté
La chirurgie de remplacement des articulations peut changer radicalement votre vie, et seul un chirurgien hautement qualifié peut améliorer considérablement votre résultat.
Le Dr. Karkare est un leader en remplacement des articulations et reconstruction des membres, avec une formation avancée et une vaste expérience dans les approches chirurgicales traditionnelles et innovantes.
Il utilise un modèle de soins axé sur le patient pour des résultats supérieurs à long terme et une satisfaction maximale des patients.
La chirurgie de remplacement des articulations de nos jours
Chaque année aux États-Unis, plus d’un million d’hommes et des femmes subissent une arthroplastie de la hanche et du genou, remplaçant des articulations usées, malades et douloureuses par des prothèses articulaires de pointe qui peuvent leur permettre d’éviter la douleur, restaurer leur mobilité et mener une vie plus complète et plus confortable.
Les patients d’arthroplastie d’aujourd’hui bénéficient considérablement de la technologie améliorée et des techniques chirurgicales innovantes, mini-invasives afin de permettre une récupération rapide, moins douloureuse ,tout en réduisant considérablement le risque de complications. De nouvelles conceptions et des matériaux étonnamment durables appuient des approches plus personnalisées de la chirurgie de remplacement articulaire afin que les patients puissent atteindre un ajustement plus « naturel » et profiter des résultats à long terme bien supérieurs par rapport aux chirurgies effectuées il y a encore quelques années.
Le choix du chirurgien est la clé de la réussite des résultats.

En plus de son diplôme de médecine et l’obtention de plusieurs bourses de recherche en médecine et en chirurgie orthopédique et en remplacement des articulations, le Dr. Karkare possède une maîtrise en ingénierie des matériaux biomedicaux de SUNY, lui offrant ainsi une perspective unique sur la conception et le développement d’implants de remplacement d’articulations et leurs applications. Sa combinaison d’études et d’expérience lui permet d’évaluer les besoins de chaque patient à partir de muliples critères d’évaluation, en évaluant non seulement les symptômes et l’anatomie du patient, mais aussi son mode de vie et d’autres facteurs personnels afin de s’assurer une approche chirurgicale optimale et une conception idéale des implants pour des résultats optimaux. Son expérience, son éducation et sa réussite comme chirurgien de remplacement des articulations, lui ont valu un poste au Conseil consultatif de la FDA dans le cadre du dispositif de réadaptation orthopédique.
Avec sept emplacements de pratique à New York et Long island, le Dr. Karkare aide les hommes et les femmes de toute la région métropolitaine de New York à accéder aux soins hauts de gamme avec des installations entièrement équipées donnant le diagnostic le plus précis et les traitements les plus innovants et efficaces.
En plus de ses cabinets privés à Manhattan, Bayside, Lindenhurst, Centereach, Patchogue et Riverhead, le Dr. Karkare dispose de privilèges chirurgicaux dans les hôpitaux et les centres médicaux de Long Island et la région métropolitaine de New York City, offrant des soins de pointe avec une approche compatissante, centrée sur le patient qui est axée sur les résultats individuels et optimaux à long terme.










