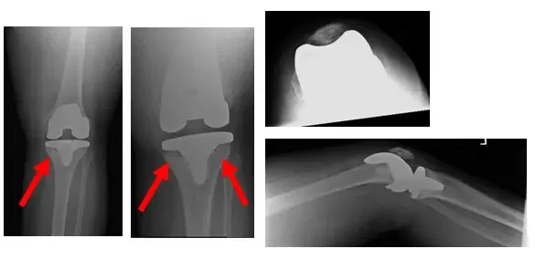
Patient is a 50 year old male who came in complaining of left knee pain. Patient stated that he had received a left Total Knee Arthroplasty (TKA) a few years ago at an outside facility.
Patient presented with a restricted range of motion and was in severe pain. Patient brought in x-rays to review, as shown below.

X-Rays show left total knee replacement with lucency around the tibial component of the prosthesis. Arrows indicate lucency
Upon review, the lucency seen in the X-Rays indicates loosening of the prosthesis. Patient was instructed to have an aspiration and blood work done to check for infection, and results came back negative.
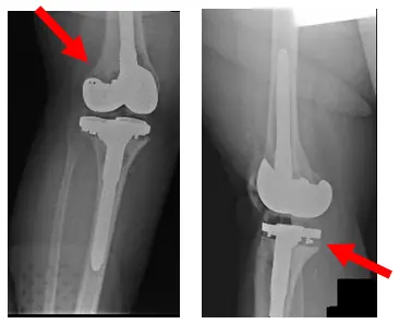
Patient was advised to have a left TKA Revision of the prosthesis, and since tests results came back negative for infection it only had to be a single staged reconstruction. All options and any other alternatives, along with all of the risks, were discussed with the patient.

Pre-operative X-rays show osteolysis and loosening of the TKA prosthesis

X-Rays show postoperative changes of placement of left revision TKA
Post-operatively patient has presented to be doing very well and experiencing no pain. Patient has good range of motion and is weight bearing as tolerated.

Tibial Stem for a modular tibial tray
The modular tibial stem shown in the image above is used in revision knee surgery. The stem helps to transmit the pressure on the polyethylene bearing distally, thus preventing excessive wear and tear.

Short femoral stem

Modular tibial tray with metal bone augments
The metal augments shown in the image above may be attached to the modular tibial tray to accommodate for bone loss encountered intra-operatively.

Modular femoral revision component
The modular femoral component used in revision knee surgery has an attachment for femoral stem and meta bone augments.
*Patient identifiers and dates changed to protect patient privacy.





