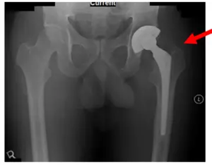
Patient is a 70 year old male who came in with severe left hip pain after having a left Total Hip Arthroplasty (THA) done several years ago. On initial visit with us, X-Rays showed findings of periprostheticlucency/osteolysis of the femoral stem and mild thickening of the distal cortex. Loosening of the prosthesis is also seen, along with pedestal at the distal end. X-rays are shown below.


X-Rays of the Left Hip Pre-Operative of Left Revision THA in September 2011
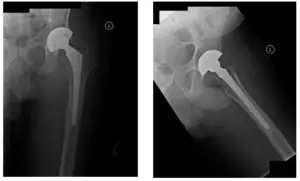
Left THA Revision performed in 2011.

X-Ray of Pelvis during operation
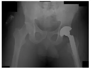
Patient had followed-up to review X-rays. Patient is doing well and will follow-up in one year to monitor his left THA. Patient is doing well and has no pain.

X-Rays of Left THA. X-rays reveal no fractures and good alignment of Left THA
*Patient identifiers and dates changed to protect patient privacy.





