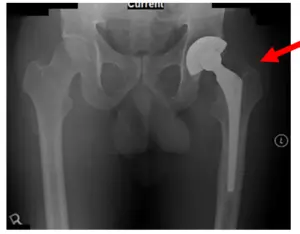
El paciente es un varón de 70 años que acudió con dolor intenso en la cadera izquierda tras haberse sometido a una artroplastia total de cadera izquierda (ATC) hace varios años. En la visita inicial, las radiografías mostraban signos de osteólisis periprotésica del vástago femoral y un leve engrosamiento de la cortical distal. También se observa el aflojamiento de la prótesis, junto con el pedestal en el extremo distal. A continuación se muestran las radiografías.


Radiografías de la cadera izquierda antes de la revisión de la ATC izquierda en septiembre de 2011
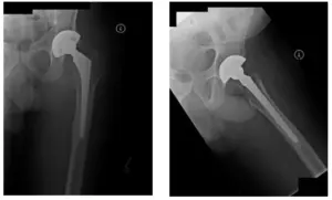
Revisión de THA izquierda realizada en 2011.

Radiografía de pelvis durante la operación
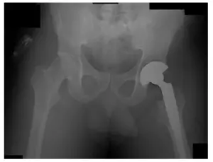
El paciente había hecho un seguimiento para revisar las radiografías. El paciente evoluciona favorablemente y se le realizará un seguimiento dentro de un año para controlar su ATC izquierda. El paciente está bien y no tiene dolor.

Radiografías de la THA izquierda. Las radiografías revelan que no hay fracturas y que la THA izquierda está bien alineada.
*Los identificadores y las fechas de los pacientes se han modificado para proteger su intimidad.





