Le patient est un homme de 80 ans qui a des antécédents de cancer de la prostate, d’hypertension et de sténose spinale. Le patient était venu pour la première fois au début de 2013 se plaindre de douleurs à la hanche droite qu’il ressentait depuis quelques années. Il...
La patiente est une femme de 55 ans qui est arrivée avec une douleur au genou droit. La patiente a déclaré qu’elle avait subi une arthroplastie totale du genou il y a quelques années dans un établissement extérieur. Le patient présentait une amplitude de mouvement...
Le patient est un homme de 73 ans qui est arrivé avec une douleur à la hanche droite. Après examen des radiographies, il a été déterminé que le patient avait une fracture de la hanche et une arthrite dégénérative sévère de la hanche droite. Le patient a été informé...
La patiente est une femme de 65 ans qui est arrivée environ 1 an après avoir subi une arthroplastie totale de la hanche droite (THA) et a présenté une fracture du fémur déplacée. Le patient a eu besoin d’une procédure de fixation interne à réduction ouverte (ORIF)...
Le patient est un homme de 55 ans qui est venu nous voir pour se plaindre d’une luxation récurrente de la prothèse de hanche droite. Le patient a déclaré que cela se produisait depuis qu’il avait subi une arthroplastie totale de la hanche (THA) droite il y a quelques...
La patiente est une femme de 52 ans qui s’est plainte de douleurs sévères à la hanche gauche. La patiente a expliqué qu’il y a quelques années, elle avait subi une arthroplastie totale de la hanche gauche (THA) dans un établissement extérieur et qu’elle souffrait...
La patiente est une femme de 68 ans qui s’est plainte de douleurs à la hanche droite après avoir subi une intervention chirurgicale pour réparer une fracture antérieure de la hanche droite. Le patient a apporté des radiographies pour examen, comme indiqué ci-dessous,...
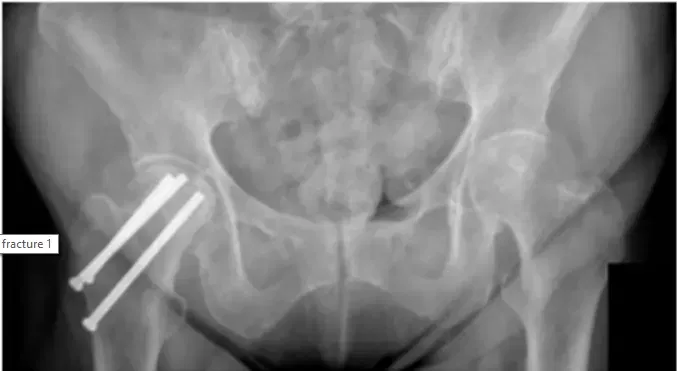
La patiente est une femme de 65 ans qui est arrivée avec une fracture Fosamax du fémur droit. Le patient a également des antécédents d’ostéoporose et prend des bisphosphonates depuis longtemps. L’utilisation chronique de bisphosphonates peut souvent provoquer un...
Le patient est un homme de 50 ans qui est venu en 2012 se plaindre de douleurs à la hanche gauche. Avant cette visite, le patient a subi une arthroplastie de la hanche gauche en 2011, effectuée par des chirurgiens orthopédistes d’un autre établissement. Le patient...
Le patient est un homme de 50 ans qui est venu en août 2014 se plaindre de douleurs à la hanche gauche. Avant cette visite, le patient a subi une arthroplastie de la hanche gauche en mai 2013, effectuée par des chirurgiens orthopédiques dans un autre établissement. Le...
L’os est un tissu en croissance composé principalement de calcium et de protéines. La reformation constante des os a lieu lorsque le calcium est absorbé par votre corps. L’ostéoporose est une condition dans laquelle le calcium de l’os n’est pas remplacé lorsqu’il est...
Rien sur ce site ne doit être considéré comme un conseil juridique pour un cas ou une situation particulière. Les informations publiées n’ont pas pour but de créer, et leur réception ou leur consultation ne constitue pas une relation avocat-client ou médecin-patient, et elles ne doivent pas non plus être utilisées pour se forger une opinion juridique ou médicale.
Vous ne devez pas vous fier aux informations contenues sur ce site web. Vous devriez demander immédiatement l’avis d’un avocat ou d’un médecin pour obtenir des informations plus précises sur des questions juridiques ou médicales.
Ces informations ont été publiées à des fins d’information et/ou de publicité uniquement. Vous acceptez ces termes et conditions en utilisant notre site web.