La paciente es una mujer de 75 años que presenta dolor bilateral en la rodilla. Había empeorado sustancialmente el dolor en la rodilla derecha de forma progresiva durante los últimos 6 años. El dolor ha impedido al paciente realizar actividades de la vida diaria,...
El Sr. JF es un caballero de 83 años que se había sometido previamente a un reemplazo total de cadera en otra institución aproximadamente 13 años antes de ser remitido a mí. Al principio se recuperó bien de la intervención y había estado asintomático durante gran...
La señora M. es una mujer de 49 años que creció en Irán y se trasladó a Canadá hace varios años. Sufría molestias leves en la cadera desde hacía muchos años y se había sometido a una intervención en la cadera izquierda en su Irán natal, cuya naturaleza se desconocía....
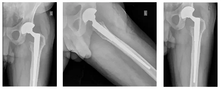
El Sr. LR es un caballero de 53 años que, por desgracia, desarrolló cambios artrósicos en la cadera derecha a una edad relativamente temprana. Fue atendido por un cirujano ortopédico en una institución diferente aproximadamente 10 años antes de que lo atendiera yo, y...
El paciente es un varón de 85 años que se presentó con una prótesis tumoral de rodilla izquierda luxada. El paciente llevaba 3 meses en el postoperatorio de una artroplastia total de rodilla (ATC ) con tumor izquierdo Reconstrucción. El paciente requirió cirugía para...
La paciente es una mujer de 80 años que había venido de fuera del estado después de que le aconsejaran que le amputaran la pierna izquierda. La paciente se había sometido previamente a 5 intervenciones quirúrgicas, incluyendo irrigación, desbridamiento y drenaje de la...
El paciente es un varón de 55 años que acudió quejándose de dolor bilateral en la cadera que, según declaró, había ido en aumento durante los últimos meses. El paciente acudió con radiografías para revisar, que indicaban que tenía artritis bilateral de las...
El paciente es un varón de 68 años que acudió en 2010 remitido por otro traumatólogo. El paciente se quejaba de dolor en la cadera izquierda que, según declaró, le venía molestando desde hacía dos años. El paciente había mencionado que fue hospitalizado hace un año...
El paciente es un varón de 70 años que acudió con dolor intenso en la cadera izquierda tras haberse sometido a una artroplastia total de cadera izquierda (ATC) hace varios años. En la visita inicial, las radiografías mostraban signos de osteólisis periprotésica del...
El paciente es un varón de 25 años que nos fue remitido por otro cirujano ortopédico y acudió con una fractura anterior de rótula que no estaba cicatrizando correctamente. El paciente sufría fuertes dolores y se había sometido a una intervención quirúrgica previa para...
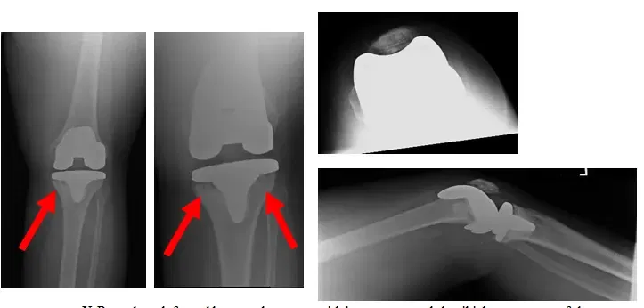
El paciente es un varón de 50 años que acudió quejándose de dolor en la rodilla izquierda. El paciente declaró que se le había practicado una artroplastia total de rodilla izquierda hace unos años en un centro externo. El paciente presentaba una limitación de la...
La paciente es una mujer de 50 años que acudió con dolor agudo en la cadera izquierda desde que se le practicó una artroplastia total de cadera izquierda (ATC) hace dos años en un centro externo. La paciente declaró que también tenía antecedentes de artrosis en la...
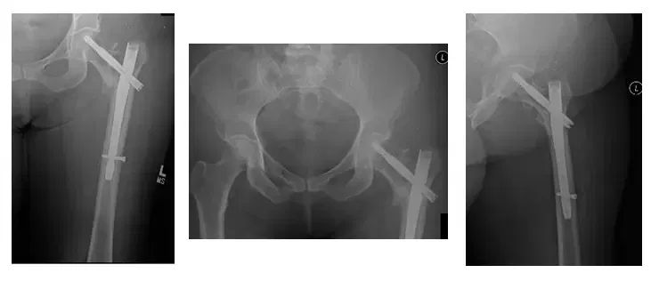
La paciente es una mujer de 55 años que acudió con fuertes dolores. La paciente explicó que hace tres años tuvo una fractura intertrocantérica de la cadera izquierda y una fijación interna de reducción abierta (ORIF) realizada por una institución externa. Afirmó que...
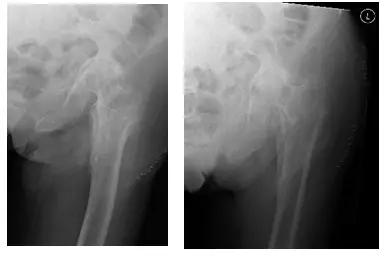
La paciente es una mujer de 75 años que acudió a nosotros con dolor intenso en la cadera izquierda tras someterse a una fijación interna de reducción abierta (ORIF) de la cadera izquierda. El paciente vino con radiografías para revisar, como se muestra a continuación,...
El paciente es un varón de 70 años que acudió quejándose de dolor en la cadera derecha. Había declarado que sufría este dolor desde hacía unos años y que había ido empeorando. Había informado de que le habían realizado una artroplastia total de cadera derecha (ATC)...
El paciente es un varón de 80 años con antecedentes de cáncer de próstata, hipertensión y estenosis espinal. El paciente había acudido por primera vez a principios de 2013 quejándose de un dolor en la cadera derecha que venía padeciendo desde hacía unos años. Afirmó...
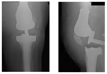
La paciente es una mujer de 55 años que acudió con dolor en la rodilla derecha. La paciente declaró que se había sometido a un reemplazo total de rodilla derecha hace unos años en una institución externa. El paciente presentaba una limitación grave de la amplitud de...
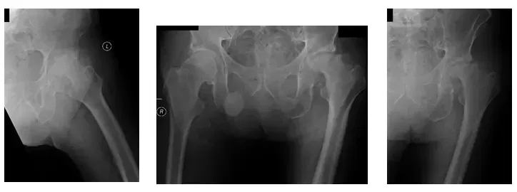
El paciente es un varón de 73 años que acudió con dolor en la cadera derecha. Tras revisar las radiografías, se determinó que el paciente tenía una fractura de cadera y una artritis degenerativa grave en la cadera derecha. Se aconsejó a la paciente que una...
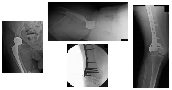
La paciente es una mujer de 65 años que acudió aproximadamente un año después de someterse a una artroplastia total de cadera derecha y presentaba una fractura de fémur desplazada. El paciente necesitó un procedimiento de fijación interna de reducción abierta (ORIF)...
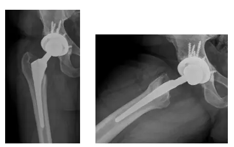
El paciente es un varón de 55 años que acudió a nosotros quejándose de luxación recurrente de prótesis de cadera derecha. El paciente declaró que esto había estado ocurriendo desde que tuvo una artroplastia total de cadera derecha (THA) hace unos años realizada en una...
Nothing on this site should be taken as legal advice for any individual case or situation. The information posted is not intended to create, and receipt or viewing does not constitute, an attorney-client relationship or a doctor-patient relationship nor shall the information be used to form an legal or medical opinions.
You should not rely on any of the information contained on this website. You should seek the advice of a lawyer or physician immediately for more accurate information surrounding any legal or medical issues.
This information has been posted for informational and/or advertisement purposes only. You consent to these terms and conditions by using our website.