La paciente es una mujer de 68 años que acudió quejándose de dolor en la cadera derecha tras haber sido operada de una fractura anterior de cadera derecha. El paciente trajo radiografías para revisar, como se muestra a continuación, y se determinó que era el hardware de la cirugía anterior que estaba causando el dolor.
Se aconsejó que se retiraran los herrajes y se sometiera al paciente a una artroplastia total de cadera derecha (ATC).
Antes de la intervención, se aconsejó a la paciente que se sometiera a un aspirado de la cadera derecha para descartar una infección. Los resultados de la aspiración fueron negativos para la infección y la paciente decidió seguir adelante con el procedimiento.

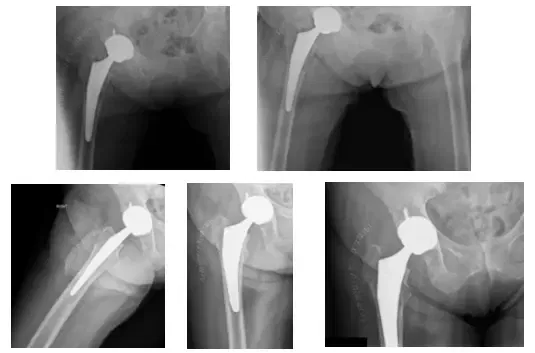
Las radiografías muestran la fijación de una fractura de cadera derecha con deformidad de la cabeza femoral

Las radiografías postoperatorias muestran una THA derecha
El paciente había seguido el postoperatorio con un dolor mínimo. El paciente presentaba una buena amplitud de movimiento y soportaba peso según lo toleraba. El paciente ha evolucionado bien posteriormente.
*Los identificadores y las fechas de los pacientes se han modificado para proteger su intimidad.





