El paciente es un varón de 70 años que acudió quejándose de dolor en la cadera derecha. Había declarado que sufría este dolor desde hacía unos años y que había ido empeorando. Había informado de que le habían realizado una artroplastia total de cadera derecha (ATC) diez años antes en un centro externo.
En su visita inicial, se determinó que el paciente presentaba osteólisis de la cadera derecha. Para descartar cualquier infección, se aconsejó a la paciente que se sometiera a un aspirado de la cadera derecha, que incluía un hemograma completo, un panel metabólico completo, una velocidad de sedimentación globular y pruebas de proteína C reactiva.
Todos los resultados de las pruebas dieron negativo para infección. Se discutieron todas las opciones con el paciente, pero se le aconsejó una revisión de la ATC debido a su estado. Se le informó de los mayores riesgos y de todos los beneficios de la cirugía de revisión. El paciente había decidido someterse a la operación y seguía programando la operación de revisión de la THA.

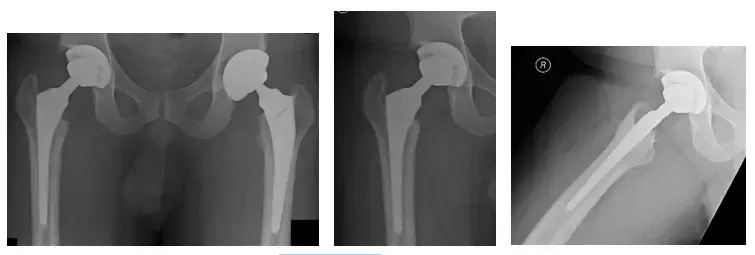
Las radiografías muestran una prótesis total de cadera derecha con lucencia alrededor del componente acetabular

Las radiografías muestran una revisión total de la cadera derecha durante la operación. La prótesis está bien colocada

Las radiografías a los seis meses del postoperatorio muestran la prótesis en buena posición
Seis meses después de la cirugía de revisión de la ATC derecha, la paciente se encuentra bien, soporta peso según lo tolera y tiene una buena amplitud de movimiento. En los seguimientos posteriores, el paciente sigue evolucionando bien y con buen alivio. A continuación se muestran las imágenes de varios implantes de prótesis total de cadera de revisión que pueden utilizarse en cirugías de revisión.

Cáscara acetabular
El cotilo acetabular encaja en la cavidad preparada en el acetábulo durante la intervención quirúrgica. El recubrimiento de plasma poroso favorece el crecimiento óseo y los tornillos sujetan el armazón.

La parte proximal del vástago femoral modular para la revisión de la prótesis de cadera
La parte proximal modular del vástago femoral en la imagen superior permite ajustar la anteversión intraoperatoriamente y acoplar un vástago largo.

Vástago distal de un componente femoral modular para prótesis de cadera de revisión
El vástago estriado largo encaja en la parte proximal del componente femoral modular. El vástago transmite la carga distalmente en el fémur y la forma estriada ofrece estabilidad rotacional.

Cabeza cerámica con manguito adaptador
Para las cirugías de sustitución pueden utilizarse cabezas de cerámica o de aleación metálica.
*Los identificadores y las fechas de los pacientes se han modificado para proteger su intimidad.





