El paciente es un varón de 80 años con antecedentes de cáncer de próstata, hipertensión y estenosis espinal. El paciente había acudido por primera vez a principios de 2013 quejándose de un dolor en la cadera derecha que venía padeciendo desde hacía unos años. Afirmó que anteriormente había probado la fisioterapia junto con medicación para el dolor, pero que ha sentido un alivio mínimo.
A la exploración, la paciente presentaba sensibilidad y una amplitud de movimiento muy limitada. El paciente había explicado que tenía un fuerte dolor en la ingle, que le costaba realizar sus actividades cotidianas y que tenía que levantar la pierna para subir a su coche.
Tras la revisión, las radiografías mostraron que el paciente tenía artritis de cadera derecha, como se muestra a continuación. Se discutieron a fondo las opciones con el paciente junto con el riesgo, los beneficios y cualquier alternativa, pero se aconsejó que el paciente recibiera una artroplastia total de cadera derecha (ATC) debido a sus signos y síntomas actuales.
La paciente había decidido someterse a una ATC derecha. Debido a sus antecedentes de cáncer, se habló largo y tendido con el paciente de que presentaba un mayor riesgo de trombosis venosa profunda (TVP) y embolia pulmonar (EP).

Las radiografías muestran artritis de las articulaciones de la cadera izquierda y derecha, con peores hallazgos en la articulación de la cadera derecha.

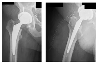
Las radiografías muestran una artroplastia total de cadera derecha con una buena colocación de la prótesis
La paciente siguió unos meses después de la operación y presentaba sensibilidad sobre el trocánter mayor izquierdo debido a una bursitis. Dado que el dolor era un síntoma de la bursitis y no de artritis articular, el paciente no necesitó una THA, y en su lugar se le administró una inyección, que le alivió bastante. En los controles posteriores, el paciente evolucionó bien tras la operación, pero empezó a quejarse de un leve dolor en la cadera izquierda.
Tras la exploración y la revisión de las radiografías, se determinó que la paciente padecía una osteoartritis (OA) grave de la cadera izquierda. Se discutieron las opciones con el paciente, incluida una posible ATC izquierda. Se informó al paciente de que, aunque las radiografías indican una OA grave, la intervención quirúrgica aún no está indicada porque sólo experimenta dolor por la bursitis.
Se explicó que se trata al paciente en función de cómo se presenta, no de lo que muestran las radiografías: si no hay dolor intenso en la articulación, todavía no se aconseja la cirugía.

Las radiografías muestran una degeneración osteoartrítica de la cadera izquierda
*Los identificadores y las fechas de los pacientes se han modificado para proteger su intimidad.





