La paciente es una mujer de 52 años que acudió quejándose de un fuerte dolor en la cadera izquierda. La paciente explicó que hace unos años se sometió a una artroplastia total de cadera izquierda (ATC) en un centro externo y que desde entonces ha sufrido luxaciones recurrentes de la cadera derecha.
Se aconsejó a la paciente que se sometiera a una revisión de la ATC con un liner constreñido debido a las luxaciones recurrentes de la prótesis de ATC.

Radiografías postoperatorias de caderas bilaterales

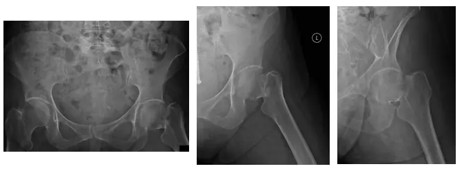
Las radiografías muestran una luxación del THA izquierdo

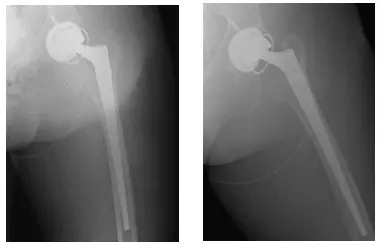
Las radiografías muestran una THA izquierda con un liner constreñido
Tras el seguimiento, la paciente se encontraba mucho mejor y ya no sufría luxaciones de la cadera izquierda. En el último seguimiento, el paciente no tenía dolor, soportaba peso según lo toleraba y tenía una buena amplitud de movimiento.
*Los identificadores y las fechas de los pacientes se han modificado para proteger su intimidad.





