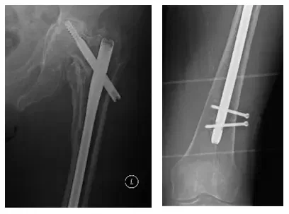
La paciente es una mujer de 75 años que acudió a nosotros con dolor intenso en la cadera izquierda tras someterse a una fijación interna de reducción abierta (ORIF) de la cadera izquierda. El paciente vino con radiografías para revisar, como se muestra a continuación, y las radiografías indican que el hardware había fallado.
Se aconsejó a la paciente que se sometiera a una reconstrucción de la cadera izquierda en dos fases, en las que primero se retiraría el herraje y después se le realizaría una artroplastia total de cadera izquierda (ATC).

Las radiografías muestran una fijación interna por reducción abierta de una fractura intertrocantérica de cadera izquierda.

Las radiografías muestran cambios osteolíticos extensos en el fémur proximal, así como osteoartritis avanzada en la cadera izquierda.
El paciente acudió para un seguimiento 2 semanas después de la extracción del implante de cadera izquierda. Trajo los resultados de la aspiración, que mostraron cultivos positivos de infección.
Debido a la infección, se aconsejó a la paciente que la mejor opción para ella sería un implante de un espaciador antibiótico para combatir la infección. Todas las opciones, alternativas y riesgos se discutieron ampliamente con el paciente. Había decidido seguir adelante con la operación.

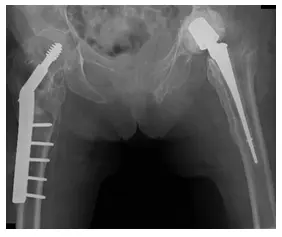
Las radiografías muestran el postoperatorio de una ORIF de cadera derecha y una ORIF de cadera izquierda con colocación de un dispositivo espaciador en la cadera izquierda.

La radiografía muestra osteoporosis con prótesis de cadera izquierda y fijación interna de la cadera derecha, junto con fractura no desplazada del isquion derecho.
La paciente había seguido unos meses después de la operación con un dolor mínimo, soportaba peso según lo toleraba y tenía una buena amplitud de poción. Posteriormente le ha ido bien.
*Los identificadores y las fechas de los pacientes se han modificado para proteger su intimidad.





