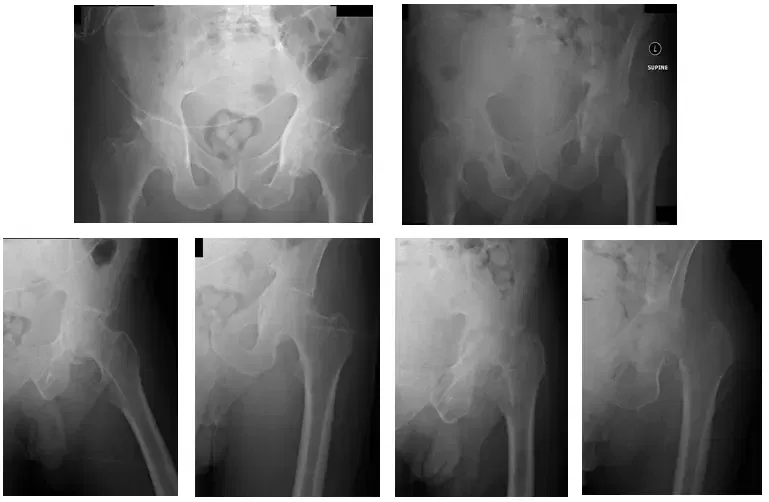
El paciente es un varón de 55 años que acudió quejándose de dolor bilateral en la cadera que, según declaró, había ido en aumento durante los últimos meses. El paciente acudió con radiografías para revisar, que indicaban que tenía artritis bilateral de las articulaciones de la cadera. A continuación se muestran las radiografías.

Las radiografías muestran artritis bilateral de la cadera con peores hallazgos de artritis en la articulación de la cadera izquierda.
Las radiografías también muestran un cambio erosivo severo de la cadera izquierda y una fractura basicervical en el cuello femoral. También se muestra una leve migración axial de la cabeza femoral de la cadera derecha.
Para comprobar si había infección, se aconsejó a la paciente que se hiciera una aspiración de la cadera izquierda. Los resultados dieron positivo para infección. Se aconsejó a la paciente que se sometiera a una artroplastia total de cadera (ATC) bilateral con espaciadores antibióticos de alta dosis para tratar tanto la artritis como la infección. Todas las opciones y alternativas, junto con los posibles riesgos, se discutieron ampliamente con el paciente. El paciente había decidido seguir adelante con la operación.

Radiografías intraoperatorias. Las flechas muestran los retractores

Láminas de control intraoperatorio. Las imágenes muestran la colocación del espaciador de cemento de ambas cabezas y cuellos femorales presumiblemente. Las radiografías muestran dosis altas de antibióticos espaciadores

La radiografía muestra la pelvis tras la colocación de cemento bilateral en la cadera. Las radiografías muestran espaciadores de cemento

Las radiografías muestran un espaciador bilateral de cadera sin aflojamiento ni fracturas pélvicas
El paciente había seguido un seguimiento cada pocos meses para controlar su evolución. Posteriormente se ha presentado sin dolor, con una buena amplitud de movimiento y soporta peso según lo tolera.
*Los identificadores y las fechas de los pacientes se han modificado para proteger su intimidad.





