La patiente est une femme de 65 ans qui est arrivée environ 1 an après avoir subi une arthroplastie totale de la hanche droite (THA) et a présenté une fracture du fémur déplacée. Le patient a eu besoin d’une procédure de fixation interne à réduction ouverte (ORIF) pour guérir la fracture.
En raison des antécédents de THA du patient, il était possible que le patient ait également besoin d’une chirurgie de révision dans laquelle la prothèse THA précédente serait fixée, mais heureusement, l’implant THA était stable et n’avait pas besoin d’une révision, de sorte que seule la fracture a été opérée.
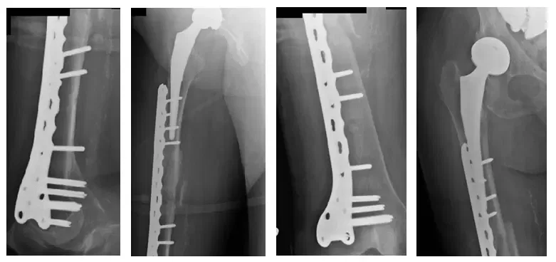
Dans la procédure ORIF, une plaque coulissante mini-invasive a été placée dans la fracture sans s’approcher du côté de la fracture.

Films peropératoires

Les images postopératoires montrent un ORIF fémoral droit
Lors du suivi, le patient se portait bien et ressentait une douleur minimale. Lors des visites suivantes, le patient a continué à s’améliorer, a porté du poids comme toléré et a une bonne amplitude de mouvement.
*Les identificateurs et les dates des patients ont été modifiés pour protéger la vie privée des patients.





