La patiente est une femme de 65 ans qui est arrivée avec une fracture Fosamax du fémur droit. Le patient a également des antécédents d’ostéoporose et prend des bisphosphonates depuis longtemps. L’utilisation chronique de bisphosphonates peut souvent provoquer un retournement osseux, ce qui est une cause fréquente de fractures de Fosamax. Il est typique dans les fractures de Fosamax que la fracture soit sous-trochantérienne et qu’il y ait épaississement du cortex.
Dans ce cas, la fracture du patient est « béante », comme le montre la flèche. Il n’y a pas non plus de renouvellement osseux, ce qui peut conduire au « syndrome des os gelés », ce qui rend cette fracture particulière difficile à guérir. Pour le traitement de la fracture, le patient a subi une fixation interne à réduction ouverte (ORIF) avec augmentation, en utilisant des protéines morphogéniques osseuses.

La radiographie montre une fracture sous-trochantérienne oblique du fémur droit avec angulation latérale.


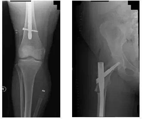
Les radiographies postopératoires montrent une fixation interne à réduction ouverte (ORIF) du fémur droit.
Les radiographies montrent une tige intramédullaire s’étendant du grand trochanter, à travers la fracture fémorale proximale, jusqu’à la tige distale du fémur où il y a une vis horizontale.
Lors du suivi, le patient a présenté un inconfort ou une douleur minimale, avait une bonne amplitude de mouvement à la hanche et au genou et porte un poids tel que toléré. Le patient a également reçu Forteo, qui est un agent osseux anabolisant qui augmente la formation osseuse. Le patient s’est bien porté par la suite.
*Les identificateurs et les dates des patients ont été modifiés pour protéger la vie privée des patients.





