La patiente est une femme de 80 ans qui était venue de l’extérieur de l’État après avoir été avisée de recevoir une amputation de sa jambe gauche. La patiente a déjà subi 5 interventions chirurgicales, y compris l’irrigation, le débridement et le drainage de son genou gauche après avoir été impliquée dans un accident de voiture il y a plusieurs années. Les chirurgies précédentes ont été effectuées par un établissement de l’État.
Le patient est venu avec des radiographies pour examen, comme indiqué ci-dessous. Lors de l’examen, le patient ressentait de la douleur et on lui a finalement conseillé de subir une arthroplastie totale du genou gauche (ATG) Chirurgie de reconstruction. Toutes les alternatives et options ont été longuement discutées avec le patient.
On a expliqué à la patiente qu’elle souffrait d’une fracture comminutive dans laquelle l’os s’était brisé en plusieurs morceaux et que les deux options étaient une procédure de fixation interne à réduction ouverte (ORIF) ou un remplacement, mais on lui a dit que le remplacement était la meilleure option pour obtenir de meilleurs résultats.

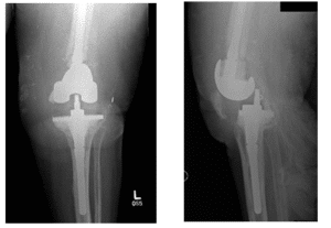
Les radiographies montrent une ostéolyse de la composante fémorale et tibiale de la prothèse gauche de l’ATG
Il existe également une calcification capsulaire et une distension capsulaire ainsi qu’un amincissement sévère du cortex autour de la face supérieure du fémur. Les flèches montrent l’ostéolyse de l’os.

Les radiographies montrent des changements préopératoires de la reconstruction de l’ATG gauche
Le patient a reçu une aspiration du genou gauche pour vérifier l’infection. Les résultats ont montré que le patient avait une prothèse tumorale du genou infectée. Il a été conseillé au patient de recevoir une prothèse antibiotique articulée avec des espaceurs antibiotiques articulés à forte dose pour traiter l’infection.
Les espaceurs antibiotiques seront laissés pendant environ 6 à 8 semaines, puis retirés et remplacés par une nouvelle prothèse. Le patient avait décidé de procéder à l’opération.

Le scanogramme préopératoire montre de légers changements dégénératifs aux deux hanches et au genou droit
Il y a une plaque orthopédique et plusieurs vis dans le fémur distal droit.

Les radiographies préchirurgicales montrent une luxation gauche de l’ATG avec translation dorsale du tibia et élargissement de l’articulation tibiofémorale

Les radiographies montrent des changements peropératoires du genou gauche, y compris une prothèse fémorale et tibiale à longue tige

Images de fluoroscopie peropératoire

Les radiographies montrent une ATG du genou gauche un an après l’opération
Lors du suivi, le patient se plaint de l’absence de douleur, a une bonne amplitude de mouvement, porte un poids tel que toléré et se porte bien par la suite.

Plateau tibial modulaire avec manchon métaphysaire
Une image ci-dessus montre un plateau tibial modulaire utilisé dans la chirurgie de remplacement du genou de révision. Le plateau modulaire permet la fixation d’une tige et l’os métallique augmente.

Composant fémoral modulaire
L’image montre une composante fémorale modulaire (stabilisée postérieurement). La modularité de l’implant permet la fixation de la tige qui aide à transmettre la charge de l’articulation.

Manchon métaphysaire (trabecular) avec os métallique augmente
L’os augmente et les manchons métaphysaires aident à combler le vide osseux rencontré pendant la chirurgie. Lors de l’extraction de l’implant primaire ou en raison d’une infection / d’un relâchement, il peut y avoir des trous osseux.
*Les identificateurs et les dates des patients ont été modifiés pour protéger la vie privée des patients.





